Sẹo sau mụn là nỗi ám ảnh lâu dài của nhiều người, không chỉ ảnh hưởng đến thẩm mỹ mà còn khiến quá trình điều trị trở nên phức tạp và tốn kém. Trên thực tế, ngoài yếu tố cơ địa và mức độ viêm của mụn, nhiều thói quen sinh hoạt và chăm sóc da sai cách chính là nguyên nhân trực tiếp khiến da dễ hình thành sẹo sau mụn.
Theo các bác sĩ da liễu tại Scar Center, việc nhận diện sớm và loại bỏ những thói quen xấu là bước quan trọng giúp giảm nguy cơ sẹo, đồng thời bảo vệ cấu trúc da lâu dài. Dưới đây là 7 thói quen khiến da dễ bị sẹo sau mụn mà bạn cần đặc biệt lưu ý.
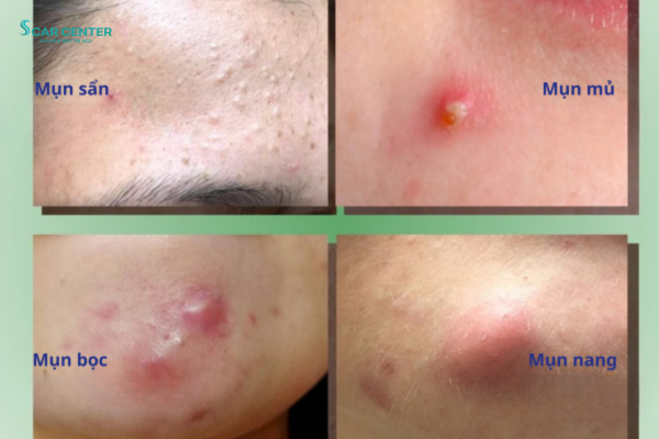
Các loại mụn dễ hình thành sẹo
Không phải loại mụn nào cũng để lại sẹo, tuy nhiên những dạng mụn viêm nặng và tổn thương sâu vào cấu trúc da có nguy cơ cao hình thành sẹo sau mụn nếu không được điều trị đúng cách. Dưới đây là các loại mụn dễ hình thành sẹo cần đặc biệt lưu ý.
– Mụn viêm: Bao gồm mụn đỏ, mụn mủ và mụn bọc. Khi không được điều trị kịp thời và đúng cách, tình trạng viêm có thể lan sâu xuống trung bì, phá vỡ cấu trúc collagen, từ đó làm tăng nguy cơ hình thành sẹo rỗ và sẹo thâm sau mụn.
– Mụn bọc: Là dạng mụn có kích thước lớn, sưng viêm và gây đau nhức. Nếu xử lý sai cách hoặc để mụn tồn tại kéo dài, mụn bọc rất dễ để lại sẹo rỗ hoặc sẹo lồi do tổn thương sâu mô da.
Các loại mụn dễ hình thành sẹo
– Mụn nang: Đây là dạng mụn nặng nhất, thường xuất hiện dưới da với các khối sưng lớn chứa mủ. Mụn nang gây phá hủy mô nghiêm trọng và có nguy cơ cao để lại sẹo vĩnh viễn, đặc biệt là sẹo rỗ sâu.
– Mụn đầu đen và mụn đầu trắng: Tuy không nghiêm trọng như mụn viêm hay mụn nang, nhưng nếu không được làm sạch và chăm sóc đúng cách, các loại mụn này có thể tiến triển thành viêm, làm tăng nguy cơ hình thành sẹo sau mụn.
7 thói quen khiến da dễ bị sẹo sau mụn
Ngoài yếu tố cơ địa và mức độ viêm của mụn, nhiều thói quen sinh hoạt và chăm sóc da sai cách là nguyên nhân trực tiếp khiến tổn thương da trở nên trầm trọng hơn. Việc nhận diện sớm những thói quen này giúp hạn chế nguy cơ hình thành sẹo rỗ sau mụn và bảo vệ cấu trúc da lâu dài.
1. Nặn mụn bằng tay hoặc dụng cụ không vô trùng
Đây là thói quen phổ biến và cũng là nguyên nhân hàng đầu gây sẹo sau mụn. Việc tự ý nặn mụn, đặc biệt là mụn viêm, mụn bọc, mụn mủ, khiến tổ chức da bị tổn thương sâu, phá vỡ cấu trúc collagen và elastin.
Ngoài ra, tay và dụng cụ không được vô trùng dễ mang vi khuẩn xâm nhập, làm viêm lan rộng, kéo dài thời gian lành thương và tăng nguy cơ hình thành sẹo rỗ vĩnh viễn.
Nặn mụn bằng tay – Thói quen khiến da dễ bị sẹo sau mụn
2. Để mụn viêm kéo dài nhưng không điều trị đúng cách
Nhiều người có thói quen “để mụn tự hết” hoặc chỉ bôi thuốc không rõ nguồn gốc. Khi mụn viêm kéo dài, phản ứng viêm phá hủy lớp trung bì da, nơi sản sinh collagen. Hậu quả là sau khi mụn lành, vùng da không thể tái tạo đầy đủ, dẫn đến sẹo lõm.
Điều trị mụn sớm và đúng phác đồ y khoa là yếu tố then chốt giúp ngăn ngừa sẹo rỗ sau mụn.
3. Sẹo sau mụn do lạm dụng mỹ phẩm trị mụn nồng độ cao
Sử dụng các hoạt chất mạnh như BHA, AHA, Retinoid hoặc peel da nồng độ cao khi da đang viêm mụn là một thói quen nguy hiểm. Việc này có thể làm da bong tróc quá mức, kích ứng, viêm da tiếp xúc và phá hủy hàng rào bảo vệ da.
Khi da bị tổn thương lặp đi lặp lại trong giai đoạn mụn viêm, khả năng phục hồi collagen suy giảm rõ rệt, làm tăng nguy cơ hình thành sẹo rỗ.
4. Không chống nắng khi da đang bị mụn và sau mụn
Nhiều người nghĩ rằng da mụn không cần chống nắng hoặc sợ kem chống nắng gây bít tắc lỗ chân lông. Trên thực tế, tia UV làm tăng phản ứng viêm, phá hủy collagen và làm chậm quá trình tái tạo da.
Việc không chống nắng đầy đủ khiến vùng da sau mụn dễ thâm sạm, yếu cấu trúc và khó phục hồi, từ đó tăng nguy cơ để lại sẹo.
Không chống nắng cũng là thói quen khiến da dễ bị sẹo sau mụn
5. Chăm sóc da sai cách sau khi mụn lành
Sau khi mụn xẹp, da bước vào giai đoạn tái tạo. Nếu giai đoạn này không được chăm sóc đúng cách, da sẽ không đủ điều kiện để tái tạo mô mới. Các sai lầm thường gặp bao gồm:
– Không dưỡng ẩm đầy đủ
– Tẩy tế bào chết quá sớm hoặc quá thường xuyên
– Dùng mỹ phẩm không phù hợp với da đang phục hồi
Điều này khiến nền da yếu, collagen tái tạo kém và dễ hình thành sẹo lõm.
6. Thói quen thức khuya, stress kéo dài
Thiếu ngủ và căng thẳng kéo dài ảnh hưởng trực tiếp đến hormon và quá trình tự phục hồi của da. Khi cơ thể không được nghỉ ngơi đầy đủ, khả năng sản sinh collagen suy giảm, vết thương sau mụn lành chậm và dễ để lại sẹo.
Đây là yếu tố gián tiếp nhưng đóng vai trò quan trọng trong việc hình thành sẹo rỗ sau mụn, đặc biệt ở người có mụn tái phát nhiều lần.
7. Tự ý can thiệp xâm lấn khi da chưa ổn định
Nhiều người nóng vội điều trị sẹo ngay khi mụn chưa ổn định, hoặc tự ý lăn kim, phi kim tại nhà. Khi da còn viêm hoặc hàng rào bảo vệ da yếu, các can thiệp xâm lấn không đúng kỹ thuật có thể làm tổn thương sâu hơn, khiến sẹo rỗ nặng hơn ban đầu.
Theo bác sĩ da liễu, điều trị sẹo rỗ cần đúng thời điểm và đúng phác đồ y khoa để đảm bảo an toàn và hiệu quả.
=> Xem thêm: Kiến thức điều trị mụn bạn nên biết
Làm gì để phòng ngừa sẹo rỗ sau mụn?
Để hạn chế tối đa nguy cơ bị sẹo sau mụn, các bác sĩ tại Scar Center khuyến nghị:
– Điều trị mụn sớm và đúng phác đồ
– Không tự ý nặn mụn
– Sử dụng mỹ phẩm phù hợp với tình trạng da
– Chống nắng đầy đủ mỗi ngày
– Chăm sóc da phục hồi đúng cách sau mụn
– Thăm khám bác sĩ da liễu khi mụn viêm nặng hoặc kéo dài
Scar Center là phòng khám da liễu đầu tiên và duy nhất chuyên sâu trị sẹo tại Việt Nam, tiên phong trong ứng dụng các công nghệ hiện đại và phác đồ cá nhân hóa. Với đội ngũ bác sĩ da liễu trực tiếp thăm khám và điều trị, Scar Center không chỉ tập trung cải thiện sẹo rỗ mà còn chú trọng ngăn ngừa sẹo ngay từ giai đoạn mụn, giúp làn da phục hồi bền vững.



